Les manifestations neurologiques/ophtalmologiques

Clinique de neurofibromatose

La NF1 peut se manifester de différentes façons aux niveaux neurologique et ophtalmologique.

Les manifestations, lesquelles sont très variable d’une personne à l’autre, sont les suivantes : 


Difficultés touchant le développement et les apprentissages

Les difficultés touchant le développement et les apprentissages se retrouvent chez environ 60% des patients avec NF1. Le degré d’atteinte varie grandement d’un individu à l’autre. Moins de 10% des patients avec NF1 présente une déficience intellectuelle.


Nodules de Lisch

  •  
    Nodules de Lisch
    Nodules de Lisch

Les nodules de Lisch sont des hamartomes, c’est-à-dire des lésions bénignes que l’on retrouve au niveau de l’iris (partie colorée de l’œil). Ils sont observés chez plus de 75% des patients avec NF1 et apparaissent au cours de l’enfance. Ils sont des caractéristiques de la maladie, mais n’ont aucune répercussion clinique.

Chez les personnes avec les yeux clairs ils peuvent aisément être observés, mais un examen spécialisé en ophtalmologie est souvent requis.


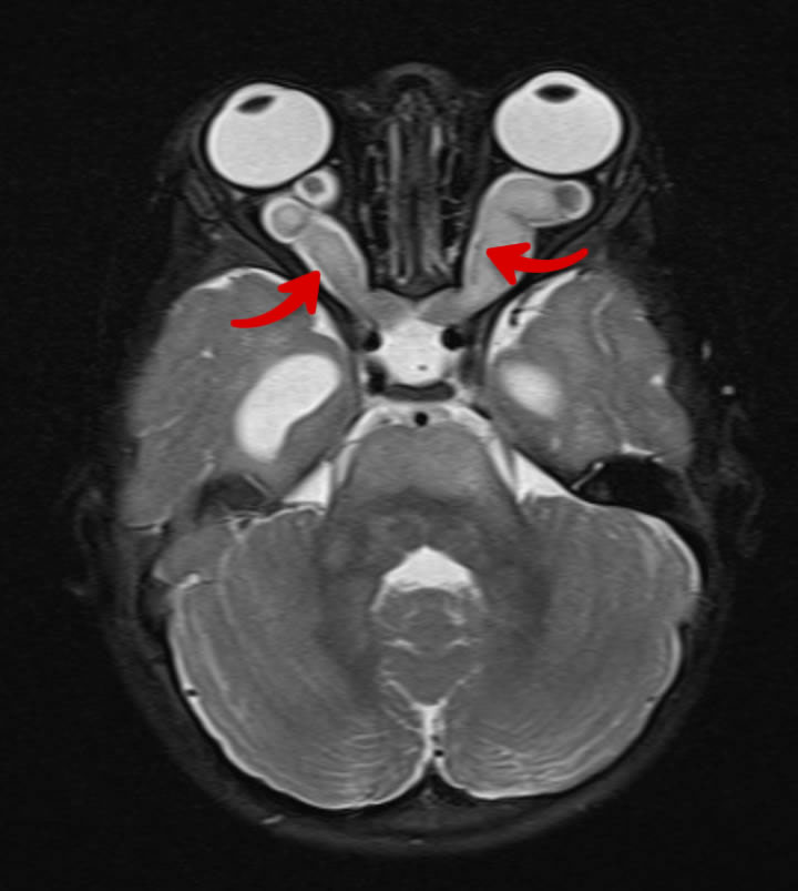
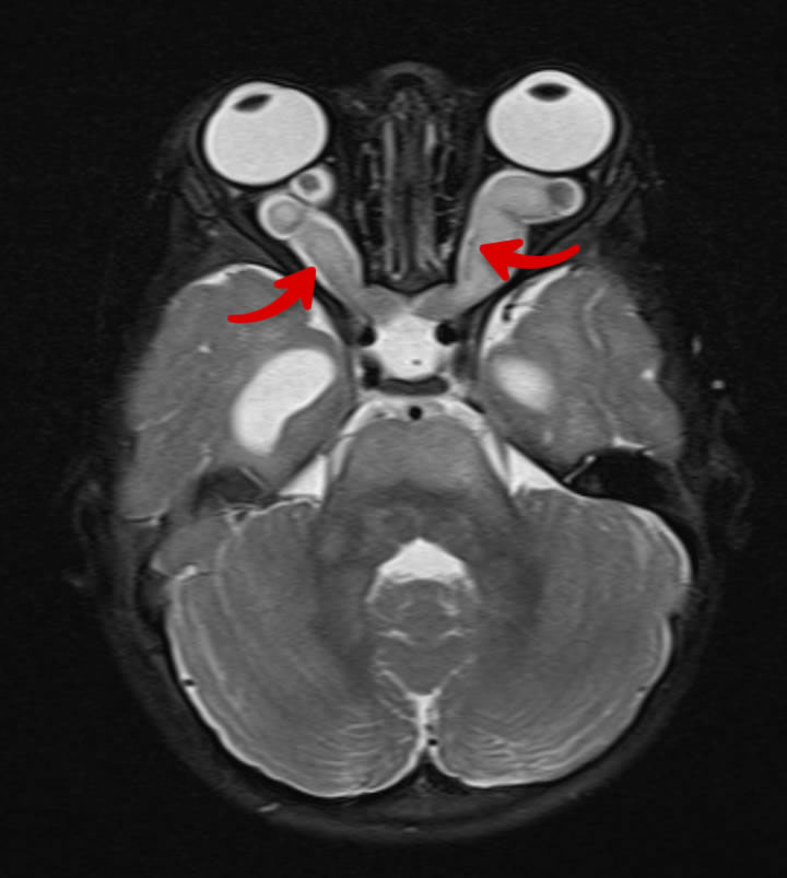
Gliomes des voies optiques

  •  
    Gliomes des voies optiques
    Gliomes des voies optiques

Les gliomes des voies optiques sont des tumeurs touchant les nerfs des yeux. Ce sont des astrocytomes pilocytaires de grade 1, c’est-à-dire d’évolution habituellement lente et qui ne compromettent pas la survie du patient. Ils surviennent principalement entre l’âge de 3 ans et 7 ans et ne sont pratiquement jamais vus chez les adultes.

On les retrouve chez environ 15% des enfants atteints de NF1, mais près de la moitié ne présenteront jamais de symptômes. Lorsqu’ils sont symptomatiques, ces gliomes se manifestent habituellement par une diminution de la vision, et les patients peuvent également avoir des céphalées (maux de tête), une proptose (œil plus avancé), une limitation dans le mouvement des yeux, une puberté précoce ou un retard de croissance.

Advenant une progression du gliome des voies optiques, des traitements de chimiothérapie peuvent être débutés afin de freiner la progression de la tumeur.

Afin d’identifier précocement une atteinte de la vision, il est important d’avoir un suivi annuel en ophtalmologie et ce jusqu’à l’âge de 10 ans. Lors de ces visites, l’acuité visuelle de même que l’aspect du nerf optique sont évalués. Selon l’âge du patient, d’autres examens plus raffinés peuvent être effectués.


Tumeurs cérébrales

Plus rarement (moins de 2%), des tumeurs cérébrales, habituellement d’évolution lente, peuvent toucher d’autres parties du cerveau. Ces lésions sont souvent uniquement surveillées en IRM, mais peuvent être retirées chirurgicalement selon leur localisation, advenant une progression. Les tumeurs malignes touchant le cerveau sont possibles, mais demeurent peu fréquentes chez les personnes avec NF1.


Hypersignaux T2 de la substance blanche

Lorsqu’une imagerie cérébrale est effectuée chez les personnes avec NF1 pour diverses raisons, on observe souvent des hypersignaux T2 de la substance blanche, c’est-à-dire des « taches blanches » que l’on voit à l’IRM. Ces anomalies sont bénignes et n’ont pas répercussion clinique. Elles apparaissent souvent au cours de l’enfance pour disparaître en grande partie à l’âge adulte.


Macrocrânie

Près de 50% des patients avec NF1 présente une macrocrânie, c’est-à-dire un cerveau et une tête au-dessus des mesures généralement retrouvées chez les enfants et adultes du même âge. Cette macrocrânie n’a pas d’impact clinique.


Épilepsie

Dans l’ensemble, peu de patient avec NF1 présente de l’épilepsie (moins de 7%).


Vidéo


Photos

  • Gliomes des voies optiques
    Gliomes des voies optiques
  • Nodules de Lisch
    Nodules de Lisch

Les atteintes aux yeux

La neurofibromatose de type 1 (NF1) peut toucher plusieurs organes, dont les yeux. Jean-François Baril rencontre Luis Ospina, neuro-ophtalmologiste, qui nous explique quels sont les complications possibles et en quoi consistent les examens des yeux des enfants suivis pour la NF1.

À propos de cette page
Mise à jour le 26 septembre 2017
Créée le 9 février 2017
Signaler ou faire une remarque
 

Voir Grand pour
l’amour des enfants

Avec le soutien de donateurs comme vous au cœur de la campagne majeure Voir Grand, nous conduisons les équipes soignantes vers les opportunités de la science et des nouvelles technologies pour que chaque enfant, où qu’il soit au Québec, accède au savoir-faire et au savoir-être uniques du CHU Sainte-Justine. Ensemble, unissons nos forces pour leur avenir.

Merci de voir grand avec nous.

Vous pouvez également faire votre don par la poste ou par téléphone au numéro sans frais 1-888-235-DONS (3667)

Nous contacter

514 345-4931

Légal

© 2006-2014 CHU Sainte-Justine.
Tous droits réservés. 
Avis légaux  Confidentialité  Sécurité  Crédits

Avertissement

Les informations contenues dans le site « CHU Sainte-Justine » ne doivent pas être utilisées comme un substitut aux conseils d’un médecin dûment qualifié et autorisé ou d’un autre professionnel de la santé. Les informations fournies ici le sont à des fins exclusivement éducatives et informatives.

Consultez votre médecin si vous croyez être malade ou composez le 911 pour toute urgence médicale.

CHU Sainte-Justine