Les manifestations squelettiques

Clinique de neurofibromatose

Les personnes avec NF1 peuvent présenter des atteintes osseuses :


La dysplasie des os

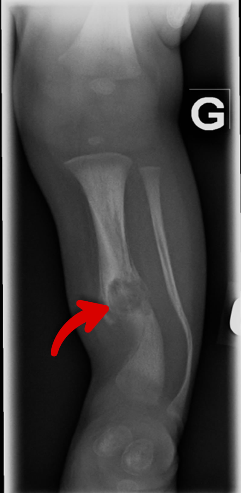
Une dysplasie des os (malformation) peut être présente chez un faible pourcentage de patients avec NF1 (moins de 5%). Cette malformation est habituellement visible dès la naissance et touche habituellement les os de la jambe ou d’une partie de l’orbite.

Les radiographies de routine ne sont pas recommandées à moins d’une suspicion clinique.

Si une dysplasie est présente, un suivi étroit avec les orthopédistes est habituellement mis en place. Ces patients présentent un risque élevé de fracture et la guérison est souvent difficile créant une pseudoarthrose.

  •  
    La dysplasie des os
    La dysplasie des os
  •  
    La dysplasie des os
    La dysplasie des os

La scoliose

La scoliose (courbe au niveau de la colonne du dos) est présente chez près de 10% des patients avec NF1. Un suivi conjoint est habituellement établi avec les orthopédistes.

Parfois, les patients doivent porter un corset et, plus rarement, subir une intervention chirurgicale afin de corriger la scoliose.

 

Photos

  • La dysplasie des os
    La dysplasie des os
  • La dysplasie des os
    La dysplasie des os
À propos de cette page
Mise à jour le 23 février 2017
Créée le 9 février 2017
Signaler ou faire une remarque
 

Voir Grand pour
l’amour des enfants

Avec le soutien de donateurs comme vous au cœur de la campagne majeure Voir Grand, nous conduisons les équipes soignantes vers les opportunités de la science et des nouvelles technologies pour que chaque enfant, où qu’il soit au Québec, accède au savoir-faire et au savoir-être uniques du CHU Sainte-Justine. Ensemble, unissons nos forces pour leur avenir.

Merci de voir grand avec nous.

Vous pouvez également faire votre don par la poste ou par téléphone au numéro sans frais 1-888-235-DONS (3667)

Nous contacter

514 345-4931

Légal

© 2006-2014 CHU Sainte-Justine.
Tous droits réservés. 
Avis légaux  Confidentialité  Sécurité  Crédits

Avertissement

Les informations contenues dans le site « CHU Sainte-Justine » ne doivent pas être utilisées comme un substitut aux conseils d’un médecin dûment qualifié et autorisé ou d’un autre professionnel de la santé. Les informations fournies ici le sont à des fins exclusivement éducatives et informatives.

Consultez votre médecin si vous croyez être malade ou composez le 911 pour toute urgence médicale.

CHU Sainte-Justine